
A lire également : Jeux enfants 3 ans pour voyages et trajets en voiture, nos pistes
L’érosion des dents, cette lente disparition qui laisse la mâchoire démunie, n’a rien d’exceptionnel. Le professeur Andreas Olze, figure reconnue à Berlin Mitte, lève le voile sur les origines de cette usure, les solutions pour retrouver une bouche harmonieuse et les précautions à ne jamais négliger. À la tête de son cabinet, il conjugue maîtrise technique et regard esthétique, s’appuyant sur des méthodes innovantes pour accompagner ses patients.
Qu’est-ce qui provoque une morsure d’abrasion ?
Professeur Dr. Olze : Plusieurs facteurs se cachent derrière l’usure généralisée de la dentition. Le scénario le plus fréquent ? Des personnes qui, sous pression, serrent ou grincent des dents pour libérer leur tension. Cela touche surtout les profils très investis dans leur vie professionnelle, le genre de battants qui carburent à l’adrénaline.
Lire également : Apprendre aux enfants à jouer aux jeux stimule leur développement
Chez ces personnes, on retrouve souvent une alimentation axée sur la santé, avec des produits riches en fibres, naturellement abrasifs. La consommation régulière de fruits ou de jus acides accentue la disparition de la matière dentaire lors de la mastication.
À cela s’ajoute le goût pour les sports extrêmes, ceux qui stimulent l’adrénaline et, par ricochet, renforcent l’habitude de serrer les dents. Le résultat : une perte de substance dentaire qui ne pardonne pas.
Je repense à un patient marquant : cadre dynamique, silhouette athlétique, adepte du marathon, enchaînant les déplacements à 200 km/h entre deux clients. Dans sa bouche, l’usure était flagrante : chaque dent portait la trace d’une vie menée tambour battant.
Quels sont les signes d’une morsure d’abrasion ?
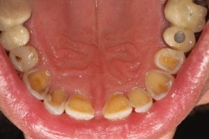
Professeur Dr Olze : Les premières alertes sont subtiles : les dents raccourcissent peu à peu. Les incisives, en particulier, perdent de leur superbe et cela se remarque soudain à l’avant de la bouche.
Quand l’émail disparaît totalement, la dentine, plus foncée, fait surface. À ce stade, il n’est pas rare que les sensibilités dentaires s’installent.

Des troubles de la prononciation peuvent aussi apparaître. Mais ce n’est pas tout : la modification de la hauteur de la morsure peut entraîner des pressions inhabituelles entre les dents du haut et celles du bas, provoquant un déplacement des dents à l’avant de la mâchoire supérieure. Progressivement, des troubles de l’articulation temporo-mandibulaire se développent. Certains patients décrivent alors des tensions, des douleurs musculaires, parfois des gênes dans la gorge.
Dans les situations extrêmes, des acouphènes ou d’autres symptômes associés peuvent survenir.
Quels points de vigilance avant d’envisager un traitement de la dentition usée ?
Professeur Dr. Olze : Il serait illusoire de vouloir traiter tous les aspects ici : le sujet est vaste. Je vais donc me concentrer sur les étapes-clés à ne pas négliger.
Première étape : un dialogue approfondi entre le praticien et la personne concernée à propos du diagnostic posé. Beaucoup imaginent qu’il suffit de quelques séances pour retrouver un sourire éclatant. Or, il faut accepter que la réhabilitation d’une dentition usée demande du temps et de l’investissement.
Une fois cette prise de conscience acquise, il importe de bâtir un plan de traitement global et réfléchi. Lorsque toute la dentition est concernée, il est nécessaire d’identifier les dents qui tiendront le choc sur la durée. Après une telle réhabilitation, la stabilité attendue doit être à la hauteur des attentes : les patients exigent souvent plus de fiabilité que pour leurs équipements électroménagers haut de gamme.
Pour élaborer le projet, voici comment les choses s’organisent :
- Des modèles de la situation dentaire sont réalisés pour servir de base à la réflexion.
- Le prothésiste dentaire conçoit une cire de diagnostic, reconstituant en blanc la matière dentaire disparue et déterminant les dents à traiter.
- Une maquette en plastique esthétique est fabriquée à partir de cette cire : elle préfigure le résultat et peut être essayée en bouche lors du rendez-vous de consultation.
Cette maquette permet d’anticiper le rendu final. Il n’est pas rare que nous proposions aux patients de l’emporter chez eux, pour se projeter sereinement, en discuter avec leurs proches, ou tester leur aisance à l’oral. En effet, la phonation change souvent avec une nouvelle prothèse : lire à voix haute avec la maquette permet de s’y préparer.
Une fois ce stade validé, on fabrique une gouttière sur la base de la maquette, afin de tester la réaction des articulations de la mâchoire à la nouvelle hauteur d’occlusion. Si aucune gêne n’apparaît et si le patient est convaincu par l’essai, une nouvelle rencontre est organisée pour s’assurer que la relation de confiance entre le patient et le professionnel est solide. C’est ce climat de confiance qui conditionne la suite du traitement. Toutes les interrogations doivent alors trouver leur réponse.

Peut-on restaurer complètement les dégâts causés par l’abrasion ?
Dr. Olze : Dans la majorité des cas, oui. Il est possible de redonner à la dentition un résultat à la fois fonctionnel et esthétique, du plus haut niveau.
Combien de temps dure le traitement des dents usées ?
Prof. Dr. Olze : Si l’on met de côté la phase de planification et d’éventuels soins préalables (comme la gestion des caries ou l’amélioration des plombages), deux grands scénarios se présentent.
Si aucune dent ne doit être extraite et que seules de petites zones sont à restaurer avec des prothèses céramiques fixes et d’un grand rendu visuel, il faut compter entre trois et quatre semaines, réparties sur quatre à cinq rendez-vous.
En revanche, lorsque des espaces plus larges nécessitent des implants et des greffes osseuses, la réhabilitation complète s’étend généralement sur une année, le temps que l’os s’intègre autour des implants. Pendant cette période, le patient bénéficie de solutions provisoires parfaitement ajustées, garantissant une qualité de vie préservée.
Qui prend en charge le coût du traitement ?

Prof. Dr. Olze : Les caisses d’assurance maladie publiques ne financent qu’une part limitée de ces soins, se référant strictement au principe de « suffisant, économique et nécessaire ». Concrètement : les couronnes et bridges servant à rétablir la fonction masticatoire peuvent être partiellement remboursés, mais les facettes céramiques pour les dents postérieures ou la face interne des dents de devant ne sont pas couvertes. Quant aux restaurations entièrement en céramique, elles ne rentrent pas non plus dans le cadre des remboursements standards.
Pour chaque situation, nous élaborons donc des devis détaillés. Une fois transmis à la mutuelle, s’engage souvent un échange nourri dans lequel nous justifions l’intérêt médical du traitement proposé. Dans notre cabinet à Berlin-Mitte, nous accompagnons nos patients tout au long de ces démarches.
Redonner des dents à ceux qui les ont perdues, c’est bien plus qu’une question de technique. C’est rendre un visage, une voix, une confiance. Et parfois, c’est la première étape vers une vie qui mord à nouveau à pleines dents.

